Zeiss全自动数字玻片扫描系统Axio Scan.Z1具有全自动明场、荧光和偏振光扫描等成像功能,可对固定样品进行大批量、全组织扫描,可进行Z轴层扫和景深拓展计算。

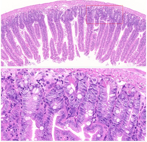
小鼠肠组织HE染色,20×物镜
培训仪器:全自动数字玻片扫描系统Zeiss Axio Scan.Z1
培训内容:1. 全自动数字玻片扫描系统的特色介绍;2. 全自动数字玻片扫描系统的应用;3. 开关机流程,扫描参数的设置。
培训时间:2025年11月26日(周三)9:00-11:00
培训地点:亚星221net医学科学楼C133
联系方式:孙老师 sunyue#mail.tsinghua.edu.cn(发送邮件时请将“#”替换成“@”)
报名方式:
访问链接:http://sapphireking.mikecrm.com/SZmd6gw
或扫描二维码:

备注:
1. 本次报名为二维码报名,提交报名信息即报名成功,如需取消报名,请联系我们。
2. 本次培训收取机时费,2位及以上同学报名参加本次培训,每人收取50%机时费。如需取消报名,请至少提前一天前联系我们,未取消报名的用户,正常收取培训费用。
3. 本学期将根据不同的实验类型提供多次小型上机培训。用户自带样品,根据现场情况可以针对样品直接培训。实验室组团培训,可以联系我们定制培训时间及内容。
细胞生物学平台
生物医学测试中心